Medial meniscus root tears: mechanics, management, and techniques
Introduction
Medial meniscal root anatomy
Meniscal root tears were first described in 1991 by Pagnani et al. (1). These tears are currently defined as either a bony or soft tissue avulsion of the meniscal attachment, or as a radial tear within 1 cm of this attachment (2). The medial meniscus (MM) is a crescent-shaped fibrocartilage with a triangular cross-section that covers between 50% and 60% of the medial tibial plateau (3). The MM has much less mobility than the lateral meniscus, in large part due to its attachment to the joint capsule and medial collateral ligament (MCL). The MM is anchored anteriorly and posteriorly to the subchondral bone of the tibia via their respective root attachments (3,4). The MM posterior root (MMPR) attaches posteriorly behind the apex of the medial tibial plateau, 9.6 mm posterior and 0.7 mm lateral to the apex of the medial tibial spine, and 8.2 mm anterior to the most proximal insertion of the posterior cruciate ligament (4,5) (Figure 1). The MM anterior root (MMAR) attaches to the anteromedial proximal tibia, along the intercondylar crest. The center of the MMAR lies 18.2 mm anteromedial to the center of the anterior cruciate ligament (ACL) tibial footprint, 9.2 mm anteromedial to the nearest edge of the ACL footprint, and an average of 7.6 mm anterior to the nearest tibial plateau articular cartilage (5,6). This has been shown to be an average of 9.2 mm anteromedial to the ACL and 27.5 mm anterolateral from the apex of the medial tibial eminence (7).
MM biomechanics
Load-sharing
The meniscus is primarily comprised of collagen (22%) and water (72%), as well as glycosaminoglycan and elastin (3,8). The majority of the collagen is type I, oriented circumferentially parallel to its periphery. There are also radially oriented collagen “tie fibers” in the deep layers of the meniscus, and superficial random fibers which function to resist shear stress (9).
The critical biomechanical functions of the MM include load-sharing and conferring stability at the knee joint (10). During axial loading of the tibiofemoral articulation, the meniscal roots convert this axial load to hoop stresses. The combined force absorption of both the medial and lateral menisci amounts to 50–70% of the total axial load through the knee (11). When the integrity of the MMPR is disrupted, the meniscus can no longer convert axial load to hoop stresses. The resultant peak contact pressures are increased two to three times between the femur and tibia, equivalent to that of a total meniscectomy (12). Repair of the MMPR in a biomechanical study restored tibiofemoral contact pressures to a similar magnitude as specimens with intact menisci (12).
Stability
The meniscus plays a significant role as a secondary restraint to anterior tibial translation. Biomechanic studies demonstrate that medial meniscectomy in ACL-deficient knees causes a significant increase in anterior tibial translation (13). In a biomechanical study of 15 specimens, Samuelsen et al. demonstrated increased force across ACL grafts in the setting of MMPR tears (MMPRTs), with forces across the graft restored to normal after performing a repair of the MMPR (14). Robb et al. demonstrated that patients are 4.9 times more likely to suffer failure of their ACL reconstruction if they had a deficient medial or lateral meniscus. Risk of failure normalized with meniscal repair (15).
Influence of alignment
Differences in osseous anatomy in both the sagittal and coronal planes contribute to the biomechanics of the MMPR. Melugin et al. demonstrated in a biomechanical study that increased tibial slope conferred significantly increased compression of the MMPR when the knee is loaded axially, and it also confers increased anteriorly directed shear force across the MMPR when subjected to internal torque (16). Samuelsen et al. demonstrated that in specimens with increased posterior tibial slope, the presence of a MMPRT potentiated the effect of the increased slope on the force across an ACL graft (14).
Alignment in the coronal plane also has significant implications regarding knee biomechanics in the setting of MMPRTs. When a knee is sufficiently varus, the medial compartment peak contact pressures have been shown in biomechanical studies to be significantly elevated, and remain elevated even after MMPR repair. This calls into question the role of meniscal repair alone, as well as the role of valgus-producing osteotomies, as discussed in greater detail later in this review (17).
Clinical presentation
In general, there tend to be two different populations of patients presenting with MMPRTs. The first is a traumatic tear, typically in a younger, active patient. This population often also sustains concomitant ligamentous injury, such as a rupture of the ACL (2). The lateral meniscus posterior root (LMPR) is more commonly torn in valgus moment injuries, while the MMPR is more often torn in varus moment injuries (18). The more common population, making up approximately 70% of posterior root tears, are degenerative tears resulting from chronic low-energy mechanisms. These patients are usually older and ultimately sustain a tear of the degenerative MMPR when rising from a deep squatting position or suffering other minor trauma such as tripping while using the stairs (2,8). They may report deep posterior or medial-sided knee pain, and imaging may also reveal subchondral insufficiency fractures as a result of increased tibiofemoral contact forces (19). Patient factors associated with degenerative MMPRTs include female sex, high body mass index (BMI), sedentary lifestyle, and varus mechanical alignment of the lower extremity (20). Traumatic MMPRTs are associated with male sex, younger age, ACL rupture, or multi-ligamentous injury of the knee and are less common than traumatic LMPR tears (20,21).
Classification
LaPrade et al. described a classification system for both medial and lateral meniscal root tears as they are observed arthroscopically (Figure 2). Type 1 tears are partial radial tears that remain mechanically stable (7%). Type 2 are complete radial tears within 9 mm of the bony attachment (68%). Type 3 are complete root detachments combined with a bucket handle tear (6%). Type 4 tears are a complex oblique tear combined with detachment at the bony insertion (10%). Type 5 tears are a bony avulsion fracture at the root attachment site (10%) (22).
Imaging
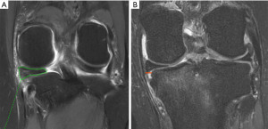
The imaging of choice in identification of MMPRT is magnetic resonance imaging (MRI) (6,8,11,21-24). While the sensitivity for detection of LMPR tears has been reported as relatively low between 33% and 60% (21,23), MRI has been shown to detect MMPRTs with a higher sensitivity of 86–90% and specificity of 94–95% (25). This decreased sensitivity for LMPR tears on MRI can be attributed to the orientation of the posterior horn of the lateral meniscus as it continues to the posterior root, which is often more parallel to the plane of the sagittal MRI when compared to the orientation of the posterior horn and root of the MM. The meniscal root is best visualized on the T2-weighted sequences with several key direct signs that indicate MMPRTs (26). On T2-weighted sagittal imaging, there may be an absence of normal meniscal signal at the level of the MMPR, known as the “ghost” sign (Figure 3A). On axial imaging, there may be a linear hyperintensity perpendicular to the meniscus representing a radial tear (Figure 3B); on coronal imaging, there may be a vertical linear defect at or adjacent to the MMPR known as the “cleft” sign (Figure 3C) (26,27). A more recent “giraffe” sign has also been described, which represents a broad trapezoidal-shaped MM body on coronal T2 sequences (Figure 4). The giraffe sign was present in 81.7% of MMPRTs (28). Furumatsu et al. demonstrated that 91.7% of patients with MMPRTs have at least two of the aforementioned signs (radial tear on axial sequence, cleft, ghost, and giraffe neck signs) present on MRI, whereas only 5% of patients with other MM tears have at least two of these signs present on MRI (28).
Other indirect findings on MRI in the setting of MMPRTs include meniscal extrusion (defined as >3 mm of meniscus medial border to the medial tibial plateau typically best appreciated on a coronal MRI sequence just posterior to the MCL, shown in Figure 4) (26,29-31), medial tibial plateau subchondral edema (8,19,24,26), and subchondral edema present at the posterior tibial plateau that is typically meniscus-covered (32) or at the site of the MMPR bony insertion (33). A potential early finding that may precede a degenerative MMPRT is the “spreading roots” sign characterized by edema appearing to spread out from the subchondral bone at the MMPR bony insertion (34).
Extrusion
Defined as >3 mm of radial displacement of the meniscus, meniscus extrusion leads to altered biomechanics of the knee and is associated with accelerated articular cartilage degeneration (Figure 5) (29). Extrusion has been found to be present in the setting of radial pattern meniscal tears, meniscal root tears, disruption of the menisco-tibial ligament (Figure 6), and, in some cases, may also be an isolated finding (29). It has previously been presumed that extrusion was a consequence of MMPRTs. However, in a recent study by Krych et al., they reported a series of 27 patients with serial MRIs, all of whom demonstrated meniscal extrusion prior to the development of subsequent MMPRTs (30). This is consistent with reports that meniscal root repair is often not successful in correcting meniscal extrusion (31,35).
Indications for management of the MMPRTs
Operative versus nonoperative management
In the majority of patients, the available literature supports repair of the MMPR when possible, due to superior functional outcomes, patient satisfaction scores, and lower rates of progression to end-stage osteoarthritis (8,20,21,24,36-39). In the setting of meniscus root tear with meniscus extrusion >3 mm, a meniscus centralization procedure may also be considered in conjunction with MMPR repair (29,35,40,41).
Patients treated with meniscectomy for an MMPR tear are at risk for more rapid progression of osteoarthritis (12,39) and developing subchondral insufficiency fractures of the medial tibial plateau (19,24,29,42,43). In a rabbit model, Dzidzishvili et al. evaluated the histopathologic findings and risk of osteoarthritis progression of non-operative management, partial meniscectomy, and repair for MMPRTs. While all three groups demonstrated progression of osteoarthritis on histopathologic assessment, the root repair group had the lowest progression of osteoarthritis, whereas the partial meniscectomy group had the highest progression of osteoarthritis (44). As such, meniscectomy is reserved for rare cases of mechanical symptoms in tear pattern that is irreparable and recalcitrant to nonoperative management. In addition to meniscus tear characteristics, there are additional considerations for whether repair of an MMPR tear is contraindicated. These considerations include medical comorbidities with perioperative risks outweighing benefits, advanced knee osteoarthritis or the presence of multiple grade 3 or 4 cartilage defects (in particular bipolar femoral and tibial cartilage defects), or medial tibial plateau subchondral bone collapse, or substantial unaddressed coronal malalignment >5° (38,39,45-47). More relative contraindications for MMPR repair include obesity and mild mechanical malalignment (<5° of varus) due to the increase in stress on the repair (46,47). In these patients, non-operative management to address symptoms, including analgesic medications, injections, physical therapy, and unloader bracing are the mainstay of treatment (38,39,45). However, patients should be counseled on the natural history of non-operative management of MMPRTs as 87% of patients at 5 years from diagnosis (48), and 95% of patients at 10 years, fail nonoperative management, with 53% undergoing total knee arthroplasty (TKA) by 10 years (38). Additionally, while age may be a surrogate for some of the aforementioned contraindications and relative contraindications for surgery, age alone has not been identified as an independent risk factor for failure of operative intervention (49). A proposed treatment algorithm used for the majority of cases of MMPRTs can be seen in Figure 7, although this is not exhaustive and patient-specific factors must be considered.
Alignment considerations
Varus alignment may present a complicating factor in some patients with MMPRTs. It is known that varus alignment increases peak contact pressures in the medial compartment of the knee, with native and TKA models demonstrating that for degrees to 6° of varus alignment at the knee confirmed a 20–50% increase in peak contact forces (50-52). The risk of progression of medial compartment osteoarthritis in the knee has been shown to increase by 21% for every 1° increase in varus knee alignment (53). Berk et al. demonstrated in a biomechanics study that repair of the MMPR can restore normal peak contact pressures in the medial tibiofemoral compartment; of note, in knees with varus alignment 4° or greater, repair of the MMPR failed to restore normal contact pressures (17). However, in a clinical study of patients who underwent repair for MMPRTs, Moon et al. reported that there was no difference in International Knee Documentation Committee (IKDC) scores, Lysholm scores, MM extrusion, or progression of osteoarthritis between patients with less than 5° of varus alignment and patients with 5–10° varus alignment with minimum 2-year follow-up (54). While this study is limited by its follow-up timeline, sample size, and potential selection bias, it does call into question the cutoff of 4–5° of varus alignment that many surgeons use to guide indications for MMPR repair. There is currently no clearly defined indication for patients who should undergo concurrent high tibial osteotomy (HTO) alongside their MMPR repair. In general, it is recommended to consider valgus-producing HTO when repairing MMPRTs in young healthy patients with greater than 4° varus alignment (24). On the contrary, in older patients with a more degenerative MMPR tear pattern with coinciding varus alignment >4°, MMPR repair is less likely to provide symptomatic relief and a durable repair, and an HTO may prolong recovery and is associated with higher risk of fracture through the lateral hinge of the osteotomy (54). In these patients, unicompartmental knee arthroplasty may also be considered to relieve symptoms, and does not rely on measures taken to protect a potentially tenuous meniscal repair (55,56). If MMPR repair is undertaken, one may consider the use of a valgus-producing medial unloader brace in the postoperative setting to protect the MMPR repair (20).
Root repair techniques
Repair of MMPRTs has been described through both all-inside suture anchor constructs and transtibial constructs, as well as with a more recent adjunct option of a centralization suture (24,29,35,57-59). Numerous suture configurations have been studied, including simple, locking loops, and luggage tag cinching sutures (60). The locking loop suture was the only configuration found to restore the pullout strength of the intact native MMPR (61,62). Bachmaier et al. performed a biomechanical study on 56 porcine menisci to compare transtibial pull-out repair and adjustable loop fixation (62). They reported that the adjustable loop fixation resulted in higher initial repair load and relief displacement when compared to the traditional transtibial pull-out repair techniques. Additionally, they found that adjustable loop fixation led to cyclic displacement similar to the native meniscus.
Proponents of the all-inside suture anchor technique note avoidance of converging bone tunnels in the setting of ligamentous repairs or an HTO (24,57,58). In addition, Feucht et al. demonstrated less displacement with cyclic loading and increased stiffness of the repair with the suture anchor technique compared with the transtibial pullout technique (63). The primary detractor of the all-inside suture anchor technique is that it is technically challenging and requires the use of a posterior portal in the vicinity of neurovascular structures in the posterior knee (57,58).
More commonly, surgeons utilize a transtibial tunnel between the MMPR footprint and the anterior cortex of the tibia (64). Suture tails are pulled through the tunnel and secured over the anterior tibia. This technique utilizes familiar arthroscopic skills and has demonstrated a reliable track record at both medium and long-term follow-up (8,24,36,37,64). Single tunnel transtibial repair has been shown to be biomechanically equivalent to double tunnel transtibial repair in terms of displacement and load to failure (65). More recent advances have combined the transtibial tunnel and all-inside techniques to utilize transtibial drilling to deploy a subchondral suture anchor, obviating the need for a posterior portal for suture anchor placement (62,64,66). Additional clinical studies would be beneficial to elucidate patient outcomes associated with this technique.
The most recent advancement in addressing MMPRTs aims to address the extrusion, which often persists despite repair of the MMPR (35,59,67). While prior techniques that proposed securement of the meniscus to the tibia led to concerns regarding over-constraint of the meniscus, more recent techniques advocate for indirect securement of the meniscus via the menisco-tibial ligaments (Figure 6) (59). While Daney et al. found no difference in tibiofemoral contact pressures with or without centralization suturing (35), Kohno et al. reported decreased contact pressures when two centralization sutures were placed in addition to a medial capsular advancement in a porcine model (68). While there is currently a paucity of biomechanical and clinical data, early outcomes after centralization are promising. Krych et al. reported a series of 25 patients who underwent MMPR repair with centralization with a mean follow-up of 2 years. Patients demonstrated significant improvements in pain, function, and quality of life, and high rates of satisfaction with surgery. No patients required TKA, and no patients demonstrated any radiographic progression of knee osteoarthritis (40). Given the recent development of this technique, longer-term follow-up is not yet available, and future studies will be beneficial to provide longer-term outcomes associated with this technique.
Outcomes
Non-operative management for MM tears has consistently demonstrated poor mid to long-term outcomes in the literature (48,69,70). Neogi et al. evaluated 37 patients with posterior MM root tears treated non-operatively (69). While they reported improvement in patient-reported outcome measures at 6 months of follow-up, these outcomes began to decline through 3 years of follow-up. Additionally, they reported a median increase in radiographic osteoarthritis over this same time period. Interestingly, the patient’s post-therapy outcome measures were significantly improved from their pre-therapy scores, demonstrating improvement with non-operative management. Similarly, Krych et al. evaluated non-operative management of MM root tears at 5-year follow-up and reported a decrease in clinical outcomes with subsequent progression of osteoarthritis with an overall 87% failure of non-operative management (48). In an updated series, Krych et al. evaluated patients treated nonoperatively with an MMPR tear at a mean of 14 years (range 11–18 years). They found that 53% (n=25) had undergone TKA in the affected knee, and 37 of 39 living patients (95%) had failed nonoperative treatment based on patient-reported outcome measures or conversion to TKA (38).
When considering surgical management of meniscus root tears, repair over partial meniscectomy has been increasingly supported in the literature. Chung et al. evaluated 57 patients with MMPRTs who either underwent partial meniscectomy or repair. While they reported medial joint space narrowing in both groups, the repair group demonstrated improved Lysholm and IKDC scores, and less arthritis progression at 5.5 years follow-up. In their cohort, zero patients in the repair group converted to TKA, whereas 35% of patients in the partial meniscectomy group underwent TKA (37). In a follow-up study of this same cohort, Chung et al. reported maintenance of superiority in IKDC and Lysholm scores in the repair group at 10-year follow-up, with 56% conversion to TKA in the partial meniscectomy group compared to 22% in the repair group (71). Krych et al. reported similar findings for partial meniscectomy in 52 patients with MM root tears who underwent partial medial meniscectomy (72). At 4.5-year follow-up, 54% of patients underwent conversion to TKA. Lamba et al. followed this cohort with a minimum 10-year follow-up and reported that 72% of patients who underwent partial meniscectomy for MM root tears underwent conversion to TKA at an average of 14 years (73). A systematic review by Krivicich et al. compared mid to long-term rates of radiographic osteoarthritis between repair and meniscectomy for MM root tears (74). At 5 years follow-up, they reported that 41% of patients with meniscus root tears underwent osteoarthritis progress; however, only 22% of repair patients underwent arthritis progression, whereas 66% of partial meniscectomy patients underwent progression of arthritis. Lastly, a systematic review by Chang et al. evaluated midterm clinical outcomes of MMPR repairs (75). They reported that all clinical outcomes demonstrated improvement at final follow-up in all studies reviewed. Additionally, at a mean 4-year follow-up, 49% of patients had radiographic progression of knee osteoarthritis, and 23% of patients had evidence of osteoarthritis progression on MRI at a mean of 31.6 months. These results consistently demonstrate the high rate of conversion to TKA with non-operative management and partial meniscectomy. It should be noted that these studies are retrospective in nature and thus are subject to selection bias, as many patients who undergo non-operative management may not be indicated for surgery with confounding comorbidities.
Meniscus centralization has recently gained increased interest. There remains a limited number of clinical studies evaluating the effect of meniscus centralization and its influence on the outcome of meniscus root repair. Mochizuki et al. evaluated 26 patients with meniscal extrusion in the setting of a MM root tear who underwent meniscus root repair and meniscus centralization (41). At 2-year follow-up, they reported improvement in Lysholm and Knee Injury and Osteoarthritis Outcome Score (KOOS) scores post-operatively, as well as a decrease in the extrusion distance. Krych et al. reported on meniscus root repair with centralization in 25 patients with a minimum of 1 year follow-up (40). They reported improvement in all post-operative outcome scores measured with 88% of patients reporting subjective improvement in their knee at final follow-up. At a mean of 2-year follow-up, post-operative radiographs did not show a significant osteoarthritis progression. The results of these studies demonstrate promising results in support of meniscus centralization; however, further long-term data is needed to better understand the outcomes of this procedure.
Preferred technique
An increasingly popular solution for MMPRT utilizes a combination technique to fix the MMPR to its footprint using a single rip-stop suture and two tensionable direct-repair sutures secured via a subchondral suture anchor deployed with transtibial drilling (64,76). A standard 3-portal diagnostic arthroscopy is performed prior to proceeding with MM root repair. In particular, we pay close attention to the amount of MM extrusion present in the medial compartment. If the medial tibial plateau is uncovered by the MM, then we proceed with meniscus centralization (Figure 6) (59).
Centralization is performed with an accessory anteromedial portal roughly 2–3 cm medial to the standard anteromedial portal established under needle localization. We then proceed with placement of a 1.8 mm knotless anchor (Fibertak, Arthrex Inc., Naples, FL) at the peripheral aspect of the medial tibial plateau. An all-inside meniscus repair device (1.5 mm FiberStitch Arthrex Inc., Naples, FL) is then utilized to create a suture staple along the undersurface of the MM incorporating the knotless suture anchor to repair and centralize the menisco-tibial ligament. The repair suture is then converted through the knotless anchor, being careful not to apply final tension to this centralization suture at this point, as this may make it difficult to obtain an anatomic reduction of the posterior root repair.
We then proceed with the MM root repair. The posterior root insertion of the MM is identified and debrided. If there is difficulty accessing the MMPR, the MCL can be fractionally lengthened to improve the medial compartment working space. If more mobilization of the medial root is needed, the posterior aspect of the medial menisco-capsular ligament can be released with the use of an arthroscopic scissors or meniscal biter. We then proceed with placement of a rip-stop suture (Fiberwire, Arthrex Inc., Naples, FL) to improve the strength of our repair. We then drill a transtibial tunnel and deploy the subchondral all-suture suture anchor (SutureLoc, Arthrex Inc., Naples, FL). The repair sutures from the subchondral anchor are then passed just medial to the rip-stop suture and converted through the subchondral anchor out of the tibial tunnel. Slack is removed from the repair sutures, but care is taken to make sure these are not yet finally tensioned. We then apply manual pressure to the MM at the joint line to assist with reduction of our centralization and cycle between tensioning the centralization repair suture and the root repair sutures until we are satisfied with our repair.
Post-operatively, we place our patients in a hinged knee brace locked in extension when ambulating. The brace may be unlocked when not ambulating to allow for a range of motion from 0–90 degrees. They are restricted to toe-touch weight bearing for the first four weeks post-operatively with crutch-assisted gait and can progress to weight bearing as tolerated and range of motion as tolerated at 6 weeks post-operatively.
Conclusions
MMPRTs are a challenging problem for patients. The MMPR provides substantial biomechanical support to the knee, and tears of the MMPR lead to increased stress to the medial compartment and often rapid progression of osteoarthritis. While many patients are candidates for MMPR repair, indications are not well clarified in the setting of abnormal coronal alignment of the knee. When undertaking MMPR repair, fixing the MMPR to its footprint using a single rip-stop suture and two tensionable repair sutures secured to a subchondral suture anchor is a common and reliable technique that can be used. A centralization suture may also address meniscal extrusion and has promising medium-term outcomes. A once-silent epidemic, orthopedic surgeons now recognize MMPRT with greater frequency, and continued investigation is warranted to clarify optimal management solutions for each individual patient.
Acknowledgments
None.
Footnote
Provenance and Peer Review: This article was commissioned by the Guest Editors (Brian Waterman, Alan Reynolds and Kevin Collon) for the series “The Medial Knee at Risk” published in Annals of Joint. The article has undergone external peer review.
Peer Review File: Available at https://aoj.amegroups.com/article/view/10.21037/aoj-25-30/prf
Funding: None.
Conflicts of Interest: All authors have completed the ICMJE uniform disclosure form (available at https://aoj.amegroups.com/article/view/10.21037/aoj-25-30/coif). The series “The Medial Knee at Risk” was commissioned by the editorial office without any funding or sponsorship. A.J.T. has received hospitality payments from Stryker, Arthrex, Medical Device Business Services, and Zimmer Biomet Holdings. A.K. has received consulting fees from Arthrex, JRF, Vericel, and Responsive Arthroscopy; royalties from Arthrex and Responsive Arthroscopy; grants from DJO and Exactech; and research support from Aesculap/B.Braun, Ceterix, and Histogenics. The authors have no other conflicts of interest to declare.
Ethical Statement: The authors are accountable for all aspects of the work in ensuring that questions related to the accuracy or integrity of any part of the work are appropriately investigated and resolved.
Open Access Statement: This is an Open Access article distributed in accordance with the Creative Commons Attribution-NonCommercial-NoDerivs 4.0 International License (CC BY-NC-ND 4.0), which permits the non-commercial replication and distribution of the article with the strict proviso that no changes or edits are made and the original work is properly cited (including links to both the formal publication through the relevant DOI and the license). See: https://creativecommons.org/licenses/by-nc-nd/4.0/.
References
- Pagnani MJ, Cooper DE, Warren RF. Extrusion of the medial meniscus. Arthroscopy 1991;7:297-300. [Crossref] [PubMed]
- Pache S, Aman ZS, Kennedy M, et al. Meniscal Root Tears: Current Concepts Review. Arch Bone Jt Surg 2018;6:250-9.
- Fox AJ, Wanivenhaus F, Burge AJ, et al. The human meniscus: a review of anatomy, function, injury, and advances in treatment. Clin Anat 2015;28:269-87. [Crossref] [PubMed]
- Johannsen AM, Civitarese DM, Padalecki JR, et al. Qualitative and quantitative anatomic analysis of the posterior root attachments of the medial and lateral menisci. Am J Sports Med 2012;40:2342-7. [Crossref] [PubMed]
- DePhillipo NN, Moatshe G, Chahla J, et al. Quantitative and Qualitative Assessment of the Posterior Medial Meniscus Anatomy: Defining Meniscal Ramp Lesions. Am J Sports Med 2019;47:372-8. [Crossref] [PubMed]
- Koenig JH, Ranawat AS, Umans HR, et al. Meniscal root tears: diagnosis and treatment. Arthroscopy 2009;25:1025-32. [Crossref] [PubMed]
- LaPrade CM, Ellman MB, Rasmussen MT, et al. Anatomy of the anterior root attachments of the medial and lateral menisci: a quantitative analysis. Am J Sports Med 2014;42:2386-92. [Crossref] [PubMed]
- Ozeki N, Seil R, Krych AJ, et al. Surgical treatment of complex meniscus tear and disease: state of the art. J ISAKOS 2021;6:35-45. [Crossref] [PubMed]
- Andrews SH, Rattner JB, Jamniczky HA, et al. The structural and compositional transition of the meniscal roots into the fibrocartilage of the menisci. J Anat 2015;226:169-74. [Crossref] [PubMed]
- Fukubayashi T, Kurosawa H. The contact area and pressure distribution pattern of the knee. A study of normal and osteoarthrotic knee joints. Acta Orthop Scand 1980;51:871-9. [Crossref] [PubMed]
- Bhatia S, LaPrade CM, Ellman MB, et al. Meniscal root tears: significance, diagnosis, and treatment. Am J Sports Med 2014;42:3016-30. [Crossref] [PubMed]
- Allaire R, Muriuki M, Gilbertson L, et al. Biomechanical consequences of a tear of the posterior root of the medial meniscus. Similar to total meniscectomy. J Bone Joint Surg Am 2008;90:1922-31. [Crossref] [PubMed]
- Musahl V, Citak M, O'Loughlin PF, et al. The effect of medial versus lateral meniscectomy on the stability of the anterior cruciate ligament-deficient knee. Am J Sports Med 2010;38:1591-7. [Crossref] [PubMed]
- Samuelsen BT, Aman ZS, Kennedy MI, et al. Posterior Medial Meniscus Root Tears Potentiate the Effect of Increased Tibial Slope on Anterior Cruciate Ligament Graft Forces. Am J Sports Med 2020;48:334-40. [Crossref] [PubMed]
- Robb C, Kempshall P, Getgood A, et al. Meniscal integrity predicts laxity of anterior cruciate ligament reconstruction. Knee Surg Sports Traumatol Arthrosc 2015;23:3683-90. [Crossref] [PubMed]
- Melugin HP, Brown JR, Hollenbeck JFM, et al. Increased Posterior Tibial Slope Increases Force on the Posterior Medial Meniscus Root. Am J Sports Med 2023;51:3197-203. [Crossref] [PubMed]
- Berk AN, Cregar WM, Wang S, et al. The Effect of Lower Limb Alignment on Tibiofemoral Joint Contact Biomechanics after Medial Meniscus Posterior Root Repair: A Finite-Element Analysis. J Am Acad Orthop Surg 2024;32:e558-67. [Crossref] [PubMed]
- Kosy JD, Matteliano L, Rastogi A, et al. Meniscal root tears occur frequently in multi-ligament knee injury and can be predicted by associated MRI injury patterns. Knee Surg Sports Traumatol Arthrosc 2018;26:3731-7. [Crossref] [PubMed]
- Hussain ZB, Chahla J, Mandelbaum BR, et al. The Role of Meniscal Tears in Spontaneous Osteonecrosis of the Knee: A Systematic Review of Suspected Etiology and a Call to Revisit Nomenclature. Am J Sports Med 2019;47:501-7. [Crossref] [PubMed]
- LaPrade RF, Floyd ER, Carlson GB, et al. Meniscal root tears: Solving the silent epidemic. J Arthrosc Surg Sports Med 2021;2:47-57.
- Cinque ME, Chahla J, Moatshe G, et al. Meniscal root tears: a silent epidemic. Br J Sports Med 2018;52:872-6. [Crossref] [PubMed]
- LaPrade CM, James EW, Cram TR, et al. Meniscal root tears: a classification system based on tear morphology. Am J Sports Med 2015;43:363-9. [Crossref] [PubMed]
- LaPrade RF, Ho CP, James E, et al. Diagnostic accuracy of 3.0 T magnetic resonance imaging for the detection of meniscus posterior root pathology. Knee Surg Sports Traumatol Arthrosc 2015;23:152-7. [Crossref] [PubMed]
- Krych AJ, Hevesi M, Leland DP, et al. Meniscal Root Injuries. J Am Acad Orthop Surg 2020;28:491-9. [Crossref] [PubMed]
- Lee SY, Jee WH, Kim JM. Radial tear of the medial meniscal root: reliability and accuracy of MRI for diagnosis. AJR Am J Roentgenol 2008;191:81-5. [Crossref] [PubMed]
- Guimarães JB, Chemin RN, Araujo FF, et al. Meniscal Root Tears: An Update Focused on Preoperative and Postoperative MRI Findings. AJR Am J Roentgenol 2022;219:269-78. [Crossref] [PubMed]
- Palisch AR, Winters RR, Willis MH, et al. Posterior Root Meniscal Tears: Preoperative, Intraoperative, and Postoperative Imaging for Transtibial Pullout Repair. Radiographics 2016;36:1792-806. [Crossref] [PubMed]
- Furumatsu T, Fujii M, Kodama Y, et al. A giraffe neck sign of the medial meniscus: A characteristic finding of the medial meniscus posterior root tear on magnetic resonance imaging. J Orthop Sci 2017;22:731-6. [Crossref] [PubMed]
- Langhans MT, Lamba A, Saris DBF, et al. Meniscal Extrusion: Diagnosis, Etiology, and Treatment Options. Curr Rev Musculoskelet Med 2023;16:316-27. [Crossref] [PubMed]
- Krych AJ, LaPrade MD, Hevesi M, et al. Investigating the Chronology of Meniscus Root Tears: Do Medial Meniscus Posterior Root Tears Cause Extrusion or the Other Way Around? Orthop J Sports Med 2020;8:2325967120961368. [Crossref] [PubMed]
- Chung KS, Ha JK, Ra HJ, et al. Pullout Fixation of Posterior Medial Meniscus Root Tears: Correlation Between Meniscus Extrusion and Midterm Clinical Results. Am J Sports Med 2017;45:42-9. [Crossref] [PubMed]
- Okazaki Y, Furumatsu T, Kajiki Y, et al. A posterior shiny-corner lesion of the tibia is observed in the early phase after medial meniscus posterior root tear. Eur J Orthop Surg Traumatol 2022;32:301-6. [Crossref] [PubMed]
- Nguyen JC, De Smet AA, Graf BK, et al. MR imaging-based diagnosis and classification of meniscal tears. Radiographics 2014;34:981-99. [Crossref] [PubMed]
- Nakamura R, Okano A, Yoshida I, et al. A spreading roots sign: Characteristic sign of the preliminary stage of medial meniscus posterior root tear on magnetic resonance imaging. J Orthop Sci 2022;27:1107-13. [Crossref] [PubMed]
- Daney BT, Aman ZS, Krob JJ, et al. Utilization of Transtibial Centralization Suture Best Minimizes Extrusion and Restores Tibiofemoral Contact Mechanics for Anatomic Medial Meniscal Root Repairs in a Cadaveric Model. Am J Sports Med 2019;47:1591-600. [Crossref] [PubMed]
- Chung KS, Noh JM, Ha JK, et al. Survivorship Analysis and Clinical Outcomes of Transtibial Pullout Repair for Medial Meniscus Posterior Root Tears: A 5- to 10-Year Follow-up Study. Arthroscopy 2018;34:530-5. [Crossref] [PubMed]
- Chung KS, Ha JK, Yeom CH, et al. Comparison of Clinical and Radiologic Results Between Partial Meniscectomy and Refixation of Medial Meniscus Posterior Root Tears: A Minimum 5-Year Follow-up. Arthroscopy 2015;31:1941-50. [Crossref] [PubMed]
- Krych AJ, Lamba A, Wang AS, et al. Nonoperative Management of Degenerative Medial Meniscus Posterior Root Tears: Poor Outcomes at a Minimum 10-Year Follow-up. Am J Sports Med 2023;51:2603-7. [Crossref] [PubMed]
- Bernard CD, Kennedy NI, Tagliero AJ, et al. Medial Meniscus Posterior Root Tear Treatment: A Matched Cohort Comparison of Nonoperative Management, Partial Meniscectomy, and Repair. Am J Sports Med 2020;48:128-32. [Crossref] [PubMed]
- Krych AJ, Boos AM, Lamba A, et al. Satisfactory Clinical Outcome, Complications, and Provisional Results of Meniscus Centralization with Medial Meniscus Root Repair for the Extruded Medial Meniscus at Mean 2-Year Follow-Up. Arthroscopy 2024;40:1578-87. [Crossref] [PubMed]
- Mochizuki Y, Kawahara K, Samejima Y, et al. Short-term results and surgical technique of arthroscopic centralization as an augmentation for medial meniscus extrusion caused by medial meniscus posterior root tear. Eur J Orthop Surg Traumatol 2021;31:1235-41. [Crossref] [PubMed]
- Robertson DD, Armfield DR, Towers JD, et al. Meniscal root injury and spontaneous osteonecrosis of the knee: an observation. J Bone Joint Surg Br 2009;91:190-5. [Crossref] [PubMed]
- Garcia JR, Boden SA, Khan ZA, et al. Risk Factors for Subchondral Insufficiency Fracture of the Knee in the Setting of Medial Meniscus Posterior Root Tear. Am J Sports Med 2025;53:2118-27. [Crossref] [PubMed]
- Dzidzishvili L, Calvo E, López-Torres II. Medial Meniscus Posterior Root Repair Reduces but Does Not Avoid Histologic Progression of Osteoarthritis: Randomized In Vivo Experimental Study in a Rabbit Model. Am J Sports Med 2023;51:2964-74. [Crossref] [PubMed]
- Carreau JH, Sitton SE, Bollier M. Medial Meniscus Root Tear in the Middle Aged Patient: A Case Based Review. Iowa Orthop J 2017;37:123-32.
- Brophy RH, Wojahn RD, Lillegraven O, et al. Outcomes of Arthroscopic Posterior Medial Meniscus Root Repair: Association With Body Mass Index. J Am Acad Orthop Surg 2019;27:104-11. [Crossref] [PubMed]
- Krych AJ, Hevesi M, Desai VS, et al. Learning From Failure in Cartilage Repair Surgery: An Analysis of the Mode of Failure of Primary Procedures in Consecutive Cases at a Tertiary Referral Center. Orthop J Sports Med 2018;6:2325967118773041. [Crossref] [PubMed]
- Krych AJ, Reardon PJ, Johnson NR, et al. Non-operative management of medial meniscus posterior horn root tears is associated with worsening arthritis and poor clinical outcome at 5-year follow-up. Knee Surg Sports Traumatol Arthrosc 2017;25:383-9. [Crossref] [PubMed]
- Jackson GR, Knapik DM, Khan ZA, et al. Outcomes After Isolated Medial Meniscus Posterior Root Repairs Using an Anatomic Transtibial Pullout Technique in Patients Older Than 60 Years: A Matched Cohort Study. Orthop J Sports Med 2025;13:23259671241274136. [Crossref] [PubMed]
- McKellop HA, Llinás A, Sarmiento A. Effects of tibial malalignment on the knee and ankle. Orthop Clin North Am 1994;25:415-23.
- Tetsworth K, Paley D. Malalignment and degenerative arthropathy. Orthop Clin North Am 1994;25:367-77.
- Wong J, Steklov N, Patil S, et al. Predicting the effect of tray malalignment on risk for bone damage and implant subsidence after total knee arthroplasty. J Orthop Res 2011;29:347-53. [Crossref] [PubMed]
- Palmer JS, Jones LD, Monk AP, et al. Varus alignment of the proximal tibia is associated with structural progression in early to moderate varus osteoarthritis of the knee. Knee Surg Sports Traumatol Arthrosc 2020;28:3279-86. [Crossref] [PubMed]
- Moon HS, Choi CH, Yoo JH, et al. Mild to Moderate Varus Alignment in Relation to Surgical Repair of a Medial Meniscus Root Tear: A Matched-Cohort Controlled Study With 2 Years of Follow-up. Am J Sports Med 2021;49:1005-16. [Crossref] [PubMed]
- Kawada K, Yokoyama Y, Okazaki Y, et al. Medial meniscus posterior root tears with advanced osteoarthritis or subchondral insufficiency fracture are good indications for unicompartmental knee arthroplasty at a minimum 2-year follow-up. Arch Orthop Trauma Surg 2024;145:64. [Crossref] [PubMed]
- Innocenti M, Leggieri F, Huber K, et al. Favorable early outcomes of medial unicompartimental knee arthroplasty in active patients presenting a degenerative medial meniscus root tear with meniscal extrusion and mild radiographic osteoarthritis. Arch Orthop Trauma Surg 2024;144:4059-67. [Crossref] [PubMed]
- Lee SK, Yang BS, Park BM, et al. Medial Meniscal Root Repair Using Curved Guide and Soft Suture Anchor. Clin Orthop Surg 2018;10:111-5. [Crossref] [PubMed]
- Kim JH, Chung JH, Lee DH, et al. Arthroscopic suture anchor repair versus pullout suture repair in posterior root tear of the medial meniscus: a prospective comparison study. Arthroscopy 2011;27:1644-53. [Crossref] [PubMed]
- Krych AJ, Meta F, Kang L, et al. Arthroscopic Centralization of the Extruded Meniscus With Posterior Root Tear: A Technique Using Meniscotibial Ligament Fixation. Arthrosc Tech 2025;14:103274. [Crossref] [PubMed]
- Arner JW, Ruzbarsky JJ, Vidal AF, et al. Meniscus Repair Part 2: Technical Aspects, Biologic Augmentation, Rehabilitation, and Outcomes. J Am Acad Orthop Surg 2022;30:613-9. [Crossref] [PubMed]
- Mitchell R, Pitts R, Kim YM, et al. Medial Meniscal Root Avulsion: A Biomechanical Comparison of 4 Different Repair Constructs. Arthroscopy 2016;32:111-9. [Crossref] [PubMed]
- Bachmaier S, Krych AJ, Smith PA, et al. Biomechanical Performance of Transtibial Pull-Out Posterior Horn Medial Meniscus Root Repair Is Improved With Knotless Adjustable Suture Anchor-Based Fixation. Orthop J Sports Med 2024;12:23259671241239575. [Crossref] [PubMed]
- Feucht MJ, Grande E, Brunhuber J, et al. Biomechanical comparison between suture anchor and transtibial pull-out repair for posterior medial meniscus root tears. Am J Sports Med 2014;42:187-93. [Crossref] [PubMed]
- Woodmass JM, Mohan R, Stuart MJ, et al. Medial Meniscus Posterior Root Repair Using a Transtibial Technique. Arthrosc Tech 2017;6:e511-6. [Crossref] [PubMed]
- LaPrade CM, LaPrade MD, Turnbull TL, et al. Biomechanical evaluation of the transtibial pull-out technique for posterior medial meniscal root repairs using 1 and 2 transtibial bone tunnels. Am J Sports Med 2015;43:899-904. [Crossref] [PubMed]
- Ina J, Nelson G, Strony JT, et al. Biomechanics of Meniscus Tears and Repair Techniques. Curr Rev Musculoskelet Med 2025;18:311-22. [Crossref] [PubMed]
- Ozeki N, Muneta T, Kawabata K, et al. Centralization of extruded medial meniscus delays cartilage degeneration in rats. J Orthop Sci 2017;22:542-8. [Crossref] [PubMed]
- Kohno Y, Koga H, Ozeki N, et al. Biomechanical analysis of a centralization procedure for extruded lateral meniscus after meniscectomy in porcine knee joints. J Orthop Res 2022;40:1097-103. [Crossref] [PubMed]
- Neogi DS, Kumar A, Rijal L, et al. Role of nonoperative treatment in managing degenerative tears of the medial meniscus posterior root. J Orthop Traumatol 2013;14:193-9. [Crossref] [PubMed]
- Faucett SC, Geisler BP, Chahla J, et al. Meniscus Root Repair vs Meniscectomy or Nonoperative Management to Prevent Knee Osteoarthritis After Medial Meniscus Root Tears: Clinical and Economic Effectiveness. Am J Sports Med 2019;47:762-9. [Crossref] [PubMed]
- Chung KS, Ha JK, Ra HJ, et al. Root Repair Versus Partial Meniscectomy for Medial Meniscus Posterior Root Tears: Comparison of Long-term Survivorship and Clinical Outcomes at Minimum 10-Year Follow-up. Am J Sports Med 2020;48:1937-44. [Crossref] [PubMed]
- Krych AJ, Johnson NR, Mohan R, et al. Partial meniscectomy provides no benefit for symptomatic degenerative medial meniscus posterior root tears. Knee Surg Sports Traumatol Arthrosc 2018;26:1117-22. [Crossref] [PubMed]
- Lamba A, Regan C, Levy BA, et al. Long-term Outcomes of Partial Meniscectomy for Degenerative Medial Meniscus Posterior Root Tears. Orthop J Sports Med 2024;12:23259671241266593. [Crossref] [PubMed]
- Krivicich LM, Kunze KN, Parvaresh KC, et al. Comparison of Long-term Radiographic Outcomes and Rate and Time for Conversion to Total Knee Arthroplasty Between Repair and Meniscectomy for Medial Meniscus Posterior Root Tears: A Systematic Review and Meta-analysis. Am J Sports Med 2022;50:2023-31. [Crossref] [PubMed]
- Chang PS, Radtke L, Ward P, et al. Midterm Outcomes of Posterior Medial Meniscus Root Tear Repair: A Systematic Review. Am J Sports Med 2022;50:545-53. [Crossref] [PubMed]
- Lee DR, Clark SC, Daniel AV, et al. Arthroscopic Medial Meniscus Posterior Horn Direct Anchor Root Repair: Transtibial Approach With Knotless Adjustable Aperture Fixation. Arthrosc Tech 2024;13:102934. [Crossref] [PubMed]
Cite this article as: Graden N, Ina J, Cabarcas B, Tagliero AJ, Krych A. Medial meniscus root tears: mechanics, management, and techniques. Ann Jt 2025;10:40.

